
最近,《Stem Cells and Development》上报道了一例诱导多能干细胞iPSC衍生细胞临床治疗导致畸胎瘤的案例。
诱导多能干细胞(iPSCs)是一种新的潜在的糖尿病治疗方法,其特征是具有自我更新和分化为胰岛β细胞的能力,胰岛β细胞分泌胰岛素并重建血糖平衡。iPSC衍生细胞治疗糖尿病的安全性和有效性仍然存在争议。未分化干细胞引起的畸胎瘤形成是一个严重的风险,但关于此现象的临床报告很少。
在这项研究中,作者报告了一例独特的未成熟畸胎瘤,患者在另一家医院接受iPSC衍生细胞治疗糖尿病,并在国内某医院软组织肉瘤中心接受治疗。
患者接受了自体iPSCs分化的胰岛β细胞注射。两个月后,在注射部位发现一个肿块,并伴有腋窝淋巴结肿大。
文中展示了该未成熟畸胎瘤的临床,放射学和病理学特征,作者认为这种肿瘤不同于典型的未成熟畸胎瘤,特点是快速增长和局部淋巴结转移,该新生肿瘤对典型化疗方案没有反应,磁共振成像显示肿瘤的不均匀强化和丰富的血供。
组织病理学显示未成熟的内胚层、中胚层和外胚层组织由骨组织、软骨组织、血管组织和腺样组织组成,比典型畸胎瘤具有更多的细胞异型性。OCT4和SOX2的染色在肿瘤细胞中呈阳性,然而胰岛细胞染色是阴性的,基因测序显示了许多错义突变,但没有观察到异常的基因重排、缺陷或拷贝数的变化。
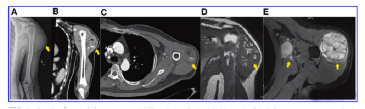
接受iPS细胞治疗患者的畸胎瘤。(A) 在左上臂的三角肌中,观察到一个圆形的混合密度肿块,边界不清,为9.6±5.2cm。(B) CT冠状扫描显示三角肌内有一圆形混合密度肿块,边界不清。(C)增强CT轴向扫描显示不均匀和中度强化。(D)MRI T1W以等信号为主,有不规则的高低信号区。(E) T2W也显示高信号和斑片状低信号区,左腋窝有多个淋巴结肿大。
作者提示在iPSC衍生的细胞治疗糖尿病后,应更加注意畸胎瘤的形成,因为这些肿瘤比典型的畸胎瘤更具侵袭性。
iPSC衍生细胞治疗糖尿病的安全性和有效性应在标准化临床试验中做进一步探讨。
参考资料:Han L, He H, Yang Y, Meng Q, Ye F, Chen G, Zhang J. Distinctive Clinical and Pathologic Features of Immature Teratomas Arising from Induced Pluripotent Stem Cell-Derived Beta Cell Injection in a Diabetes Patient. Stem Cells Dev. 2022 Mar;31(5-6):97-101. doi: 10.1089/scd.2021.0255. Epub 2022 Feb 4. PMID: 35018826.(以上内容仅供学术探讨)
版权所有:2014-2015 广州市金航生物科技有限公司 备案/许可证编号:粤ICP备15000157号